Pourquoi l'excès de sucre est-il mauvais pour les dents ?
Articles similaires
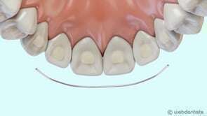
Contention de Hawley
Vidéos 3D
L'hygiène en orthodontie
Vidéos 3D
39 Rue Denis Papin
35530
NOYAL SUR VILAINE
Vidéo en cours de lecture
