Cabinet d'Orthodontie des Dr Odinn RICHARD, Dr Pauline AUDREZET et du Dr Tom LABADIE
+33 2 23 27 51 20
39 Rue Denis Papin, 35530 NOYAL SUR VILAINE

Blog - Page 8

Le comblement de sinus par abord crestal

Le comblement de sinus par abord crestal

Orthodontie : idées reçues, idées revues

Orthodontie : idées reçues, idées revues

L'orthodontie : une affaire de spécialistes

L'orthodontie : une affaire de spécialistes

Bridge collé

Bridge collé

La pose de vernis fluoré pour les enfants et les jeunes adultes de 3 à 24 ans

La pose de vernis fluoré pour les enfants et les jeunes adultes de 3 à 24 ans

Le fluor, par voie générale ou en application locale, joue un rôle essentiel dans la protection des dents de l’enfant.

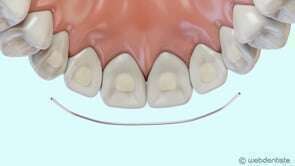
Fil de contention

Fil de contention

Affichage des articles 43-48 sur 105